Les cas habituels de consultation orthodontique chez les enfants et adolescents
Selon l’Union Française de Santé Bucco-Dentaire (UFSBD), aujourd’hui 60 % des enfants devraient bénéficier d’un traitement d'orthodontie.
Généralement, les jeunes patients consultent un orthodontiste pour les motifs suivants :
La liste ci dessous ne reprend que les problèmes les plus courants en orthodontie enfant et n’est donc pas exhaustive. Ces problèmes peuvent apparaître individuellement ou être associés entre eux.
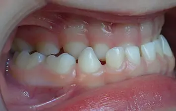
Manque de place (encombrement) et malposition
L’encombrement dentaire arrive lorsque les dents manquent de place et se chevauchent.
L’encombrement peut souvent être corrigé par expansion grâce au traitement d'orthodontie enfant, ce qui permet d’éviter les extractions dentaires.
Diastèmes/Espaces
Les espaces entre les dents peuvent être dus à
- des dents trop petites par rapport aux mâchoires ou
- des dents absentes (agénésies)
Béance
Dans la béance, les dents du bas ne sont pas recouvertes par les dents du haut. Elle peut être liée à une succion du pouce ou d’une tétine et peut entraîner une mauvaise posture de la langue qui entretiendra cette béance.
Agénésie dentaire
Une agénésie dentaire est l’absence de formation d’une dent.
Le germe ne s’est jamais formé, la dent ne sera donc pas visible à la radio et n’apparaîtra jamais en bouche. Ce cas peut donc nécessiter un traitement d'orthodontie chez l'enfant.
Dent incluse
Le terme dent incluse caractérise un arrêt partiel ou total de l'éruption d'une dent demeurant sous la gencive encore totalement prise à l'intérieur de l'os de la mâchoire.
L'inclusion la plus fréquente touche les dents de sagesse qu’on décidera alors d’extraire.
Les canines supérieures sont également susceptibles de rester incluses et la solution est de les tracter en bonne position.
Il arrive parfois que d’autres dents soient incluses mais c’est plus rare.
Dent ectopique
Ce dit d’une dent qui fait éruption à distance de son site normal : dent qui pousse au mauvais endroit.
Déviation des mâchoires ou mâchoire supérieure trop étroite (Endognathie/Endoalvéolie)
Si la mâchoire supérieure est trop étroite, on parle alors de constriction.
Les conséquences de cette malformation sont nombreuses :
- Risque d’inversé d’articulé : la mâchoire du bas est à l'extérieur par rapport à la mâchoire du haut alors qu’elle devrait être circonscrite par cette dernière.
- Risque de manquer de place pour l’évolution de toutes les dents définitives et ces dents risqueraient donc de sortir en mauvaise position ou même d’être bloquées pour sortir
- Risque d’entrainer une déviation de la mâchoire du bas avec des répercussions au niveau du visage; Si l’enfant n’est pas traité lorsqu’il est jeune, il se peut qu’une asymétrie osseuse s’installe. Dans ce cas, l’orthodontie seule ne pourra pas résoudre l’anomalie, et une chirurgie pourra s’avérer nécessaire à la fin de l’adolescence.
Ainsi, on constate qu’un traitement effectué précocement permet d’obtenir une meilleure respiration nasale et une meilleure croissance de la mâchoire supérieure et inférieure.
Mâchoire supérieure proéminente et/ou mâchoire inférieure en retrait (Protrusion/Proalvéolie)

En orthodontie chez l'enfant, on parle de dents antérieures proéminentes, en avant quand le surplomb des dents du haut sur les dents du bas est augmenté.
Il existe un risque important de traumatisme sur les incisives supérieures antérieures (fracture/expulsion /luxation…)
En effet comme ces dents sont en avant et pas protégées par les incisives inférieures loin derrière du coup, le moindre choc peut créer un traumatisme.
Le risque est majoré dans les cas sévères.
Classe 2 : La mâchoire du haut est trop avancée par rapport à celle du bas qui est souvent petite et effacée.
A l’âge adulte, une telle occlusion peut engendrer des troubles et douleurs des articulations, une usure des dents et des problèmes au niveau du parodonte (os et gencive).
Mâchoire supérieure en retrait et/ou mâchoire inférieure proéminente Prognathe/Classe 3

La mâchoire du bas est proéminente et celle du haut est petite. Cette malocclusion peut être associée à un inversé d’articulé antérieur (quand les dents du bas passent devant celles du haut).
Dans cette déformation, si l’enfant ne bénéficie pas d’un traitement d'orthodontie précoce, l’orthodontie enfant seule ne peut résoudre cette anomalie.
Très souvent, une chirurgie maxillo-faciale supplémentaire devra être envisagée à la fin de l’adolescence.
Dents antérieures du haut qui recouvrent trop celles du bas : Supraclusion

L’augmentation du recouvrement des dents antérieures supérieures sur les dents inférieures.
Les risques de cette malocclusion sont l’usure des dents antérieures et le risque de rétractation de la gencive dans la zone antérieure (déchaussement).