Cabinet d'Orthodontie à Paris 15è du Dr Sabrina Minski
fr en
Photos traitement d'orthodontie Avant/Après

Photos Avant/Après

Les photos permettent de prendre conscience de ce que l'orthodontie est capable de faire sur un sourire.

PRENDRE RENDEZ-VOUS

Avant / Après traitement d'orthodontie enfant & adolescent

S'il est possible de commencer un traitement à l'âge adulte, un traitement d'orthodontie chez l'enfant / adolescent permet de déceler les problèmes potentiels et de les corriger avant qu'ils ne s'aggravent. Il permet aussi de faire de la place pour les dents permanentes de manière à ce qu'elles arrivent en bonne position. Ces photos avant / après présentant des cas concrets de votre cabinet d'orthodontie à Paris 15è vous permettront de constater les résultats obtenus par un traitement d'orthodontie enfant / adolescent.

Photo Avant Orthodontie Enfant Par Expansion Photo Après Orthodontie Enfant Par Expansion

Endognathie : traitement par disjoncteur et par bagues dentaires

Patient enfant : traitement de première phase par expansion (disjoncteur) pour corriger l’endognathie puis appareil par bagues pour aligner les dents et permettre d’obtenir un bon engrènement des dents.

Avant Endognathie Maxillaire Orthodontie Enfant Après Traitement Orthodontie Enfant Endognathie Maxillaire

Endognathie maxillaire : pose d'un disjoncteur

Cas d’un jeune patient avec une endognathie maxillaire (réduction du sens transversal maxillaire) souvent liée à une succion du pouce. Dans ce cas la mise en place d’un disjoncteur est préconisé les résultats de l’expansion  sont visibles au bout de 2 semaines. L’appareil dentaire reste en place le temps de la consolidation de l’os dans la bonne position. Ce traitement d'orthodontie enfant permet par ailleurs de favoriser une bonne croissance des mâchoires.

Correction Alignement des Dents - Orthodontie Enfant Orthodontie Enfant : Alignement des Dents

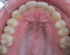
Correction de l’alignement des dents

Correction de l’alignement des dents, fermeture des espaces et correction de l’occlusion dentaire par traitement d'orthodontie enfant de deuxième phase. Le patient a porté des bagues dentaires et le traitement d'orthodontie a été suivi par une année de contention orthodontique matérialisée par un fil de contention collé à l’arrière des six dents du haut et du bas et par une gouttière dentaire de contention.

Encombrement Dentaire Orthodontie Adolescent Traitement d

Encombrement dentaire chez un adolescent

L’encombrement dentaire chez cet adolescent a été corrigé grâce à un appareil dentaire de bagues métalliques. La stabilisation pour éviter la récidive est faite grâce à un fil de contention orthodontique comme vu sur la photo et grâce à une gouttière dentaire de contention à porter toutes les nuits pendant une année.

Photo Avant Appareil Dentaire Quad Helix - Orthodontie Enfant Photo Après Appareil Dentaire Bagues Métalliques - Orthodontie Enfant

Traitement par appareil dentaire quad-helix et par bagues dentaires métalliques

Patient enfant suivi sur deux phases orthodontiques : première phase par expansion grâce à un appareil dentaire quad-helix et deuxième phase par bagues dentaires métalliques. Finalement, à l’issue du traitement d’orthodontie il profitera d’une contention orthodontique par fil collé et par gouttière dentaire en port nocturne.

Dents en Avant - Traitement Orthodontie Enfant Dents en Avant : Après Traitement d

Dents en avant

En orthodontie enfant, le fait d’avoir les dents en avant chez les jeunes enfants accroit le risque de traumatisme sur ces dents. Malheureusement, cette jeune patiente en a fait les frais puisqu’elle est tombée en avant et elle s’est cassé une dent de devant.  Elle est alors venue à notre cabinet d'orthodontie à Paris 15è et nous avons redressé et reculé ces dents du haut afin d’éviter de nouveaux chocs sur ses dents.




© 2026 - Tous droits réservés - Mentions légales