Cabinet d'Orthodontie à Paris 15è du Dr Sabrina Minski
fr en
Photos traitement d'orthodontie Avant/Après

Photos Avant/Après

Des sourires visibles après un traitement d'orthodontie invisible.

PRENDRE RENDEZ-VOUS

Avant / Après appareil dentaire invisible

Il existe plusieurs types d'appareils dentaires invisibles : les bagues dentaires utilisées en orthodontie linguale Incognito et placées sur la surface arrière des dents, les gouttières dentaires transparentes Invisalign et les bagues dentaires en céramique transparente. Ces photos avant / après vous présentent les résultats obtenus par ces appareils dentaires invisibles.

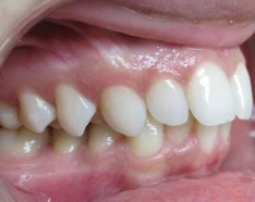
Avant Bagues Dentaires - Appareil Dentaire Céramique Transparente Après Appareil Dentaire Invisible : Bagues Dentaires Céramique Transparente

Traitement par bagues dentaires en céramique transparente

Traitement d’orthodontie adulte par bagues dentaires en céramique transparente chez un patient adulte. Traitement d'orthodontie principalement à visée esthétique : la patiente était gênée par les dents du bonheur. Fermeture de l’espace réalisé en moins de 12 mois. Stabilisation du traitement orthodontique par pose d’un fil de contention à l’arrière des dents.

Avant Traitement Appareil Dentaire Céramique Transparente Bagues Dentaires Céramique Transparente : Appareil Dentaire Invisible

Traitement par appareil dentaire en céramique transparente (bagues dentaires)

Patiente gênée par une dent du haut qui tourne de plus en plus et qui l’empêche de sourire. Un traitement d'orthodontie par appareil dentaire en céramique transparente (bagues) a permis de rouvrir l’espace pour aligner cette dent. La contention orthodontique derrière permet d’éviter que la dent ne revienne à sa position de départ. Le traitement par bagues dentaires a été réalisé en moins de 12 mois.

Occlusion Dentaire et Problème d Traitement Invisalign par Gouttières Dentaires

Défaut d’alignement et problème d’occlusion corrigés par les gouttières dentaires Invisalign

Traitement par technique des gouttières dentaires Invisalign. Problème de départ : défaut d’alignement des dents et problème d’occlusion dentaire avec inversé d’occlusion à gauche. Les gouttières dentaires Invisalign ont permis de corriger le problème. La patiente était très satisfaite de la discrétion de cet appareil dentaire invisible.

Traitement Invisalign Pour Encombrement Dentaire Après Traitement Invisalign : Gouttières Dentaires

Traitement d'encombrement par gouttières dentaires Invisalign

Traitement d’encombrement dentaire et de mâchoire du bas très constrite par le système Invisalign. La patiente très satisfaite de la discrétion des gouttières dentaires a très bien porté ses gouttières ce qui a permis d’arriver à un résultat final optimal. La contention à l’issue du traitement d'orthodontie Invisalign a été réalisée par un fil de contention à l’arrière des dents par une gouttière à la mâchoire supérieure et une plaque plus résistante à la mâchoire inférieure.

Appareil Dentaire Lingual Pour Absence de Dents Traitement Orthodontie Linguale Absence Dents

Absence de dents : traitement par appareil dentaire lingual

Problèmes d’ordre esthétique et fonctionnels. Absences de nombreuses dents et dents en mauvaise position : traitement d'orthodontie de 2 ans par appareil dentaire en lingual. La patiente a retrouvé le sourire, une meilleure occlusion dentaire et une meilleure force de mastication. Les dents pourront être conservées dans de meilleures conditions. (photo avant, pendant et en fin de traitement d'orthodontie)

Problème d Orthodontie Linguale : Appareil Dentaire Invisible

Défaut d’alignement des dents corrigé par orthodontie linguale

Patiente consulte pour défaut d’alignement des dents. Elle a été traitée par technique d’orthodontie linguale sur l’arcade supérieure et inférieure. Les bagues dentaires en lingual utilisée sont les bagues Incognito sur mesure et constituent un appareil dentaire invisible.




© 2026 - Tous droits réservés - Mentions légales