Le traitement d'orthodontie adulte global
Les techniques d'orthodontie adulte ont énormément évoluées et les appareils dentaires adultes sont beaucoup plus esthétiques voire invisibles.
Il n’y a pas de limite d’âge, les limites sont plutôt liées à un état bucco-dentaire défavorable. Le traitement d'orthodontie adulte global a pour objectif de réaligner les dents des deux arcades et de coordonner les mâchoires afin d’obtenir une occlusion idéale, esthétique, stable et fonctionnelle.
Un traitement d’orthodontie pour adulte consistera donc à analyser les défauts, d’en trouver leur origine pour garantir la stabilité.
Il est donc possible de bénéficier d’un traitement d’orthodontie pour adulte sans changer ses habitudes et en permettant de ne pas compromettre sa vie personnelle et professionnelle. De par l’absence de croissance chez l’adulte, lorsque le décalage des mâchoires est trop important, il faudra avoir recours à la chirurgie maxillo-faciale pour corriger le décalage.
Pour plus d’informations : voir la rubrique chirurgie maxillo-faciale.
Toutefois, des traitements d'orthodontie adulte de compromis peuvent être réalisés pour éviter la chirurgie.
L’histoire de votre magnifique sourire commence ici.
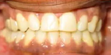
Exemples de traitements d'orthodontie adulte réalisés

